Thursday, November 19, 2015

Vegf Small Cell Lung Cancer

Vegf Small Cell Lung Cancer

Recent Patents On Anti-Cancer Drug Discovery, Insights Into ...
Insights into Angiogenesis in Non-Small Cell Lung Cancer: Molecular Mechanisms, Polymorphic Genes, and Targeted Therapies in EGFR and VEGF contribute to non-small cell lung cancer survival in a Chinese Population. Carcinogenesis 2010; 31(6): ... Return Document

Vegf Small Cell Lung Cancer Pictures

Survival In Small Cell Lung Cancer Is Independent Of Tumor ...
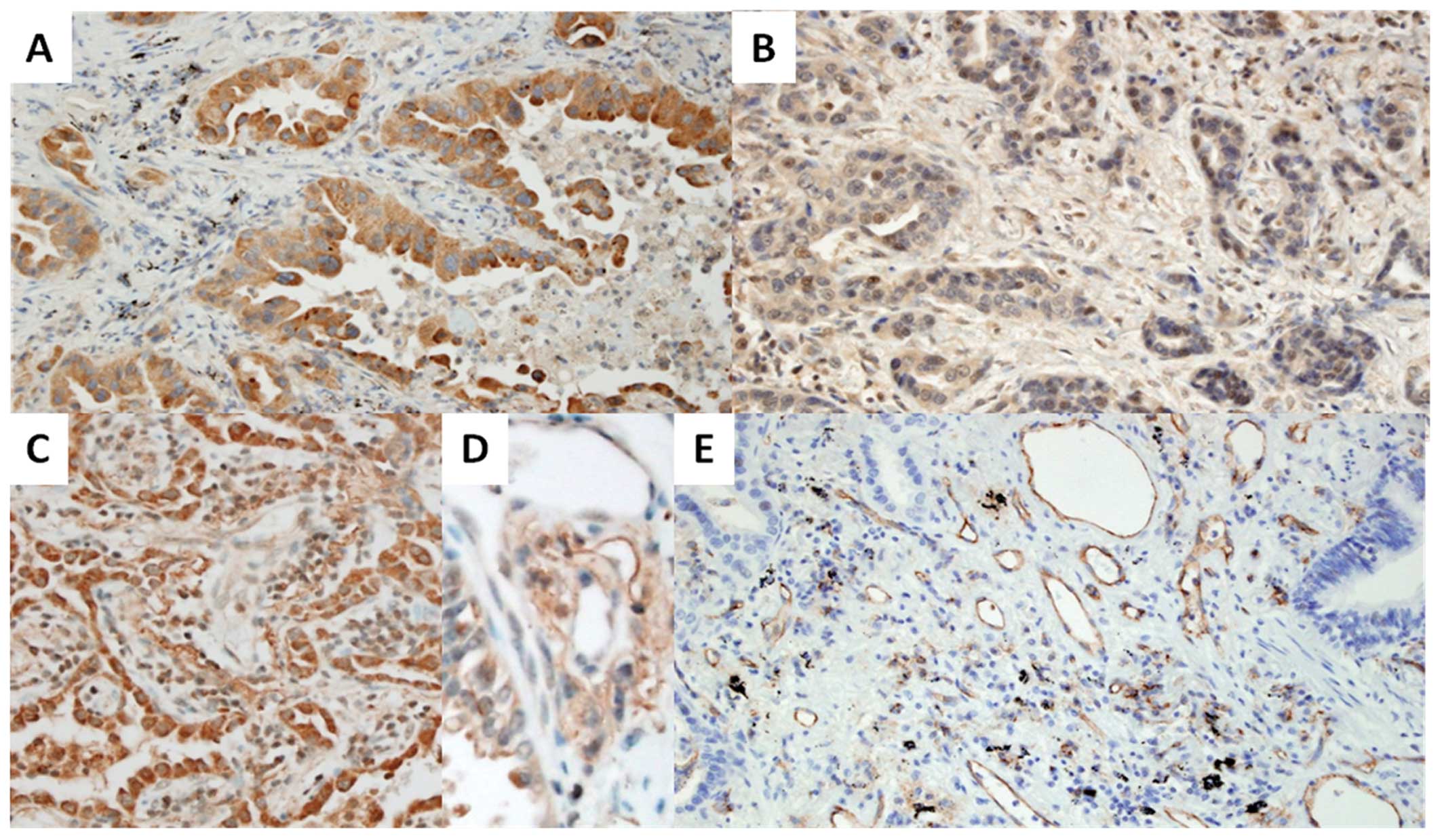
Abstract. Background: Preclinical data suggests that VEGF and COX-2 are potentially important mediators in the pathogenesis of small cell lung cancer (SCLC). ... Document Viewer

Vegf Small Cell Lung Cancer Photos

Paclitaxel–Carboplatin Alone Or With Bevacizumab For Non ...
Cer.3 Vascular endothelial growth factor (VEGF), an endothelial-cell–specific mitogen, is the major recurrent or advanced non–small-cell lung cancer (stage IIIB or IV) were assigned to paclitaxel and carboplatin chemotherapy alone ... Fetch Doc

Vegf Small Cell Lung Cancer Pictures

Angiogenesis In Non-small cell lung cancer: The Prognostic ...
Sion of vascular endothelial growth factor (VEGF) in non-small cell lung cancer (NSCLC): association with p53 gene mutation and prognosis. Lung Cancer 2001;34(Suppl. 2):S59—64. [115] KajitaT,OhtaY,KimuraK,etal.Theexpressionofvascular ... Retrieve Document

Vegf Small Cell Lung Cancer

Expression, Prognostic And Predictive Impact Of VEGF And BFGF ...
Critical Reviews in Oncology/Hematology 84 (2012) 149–160 Expression, prognostic and predictive impact of VEGF and bFGF in non-small cell lung cancer ... View This Document


ȋ

No comments:

Post a Comment